13 Jul 2017

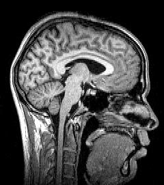
Wearable to see the inner workings of the body
This technology enables continuous scanning of the body and brain in the form of a true wearable the size of a ski-hat or bandage.
13 Jul 2017

Can you imagine fully charging your cell phone in just a few seconds?
MXene electrodes push charging rate limits in energy storage.
13 Jul 2017

Teaching care robots about human poses
Expectations for care robots are growing against the backdrop of declining birthrates, an aging population, and a lack of care staff.
13 Jul 2017

Immersion vs. Fitbit: Everything you need to know in 7 charts
Earlier this week, Immersion Corporation filed a patent infringement lawsuit against Fitbit. This is in addition to an existing lawsuit they have against Apple, also relating to the infringement of their patents in haptics, user interfaces and human-machine interfaces. In this article, James Hayward describes the background to these lawsuits within the broader context of the haptics industry.
External press release
13 Jul 2017

David Yao joins Nanoco Group plc
Nanoco Group plc, developer and manufacturer of cadmium-free quantum dots and other nanomaterials, is pleased to confirm the appointment of David Yao as Senior Vice President of Global Sales.
12 Jul 2017

Fuel cell vehicles enter serious production
Do fuel cells have a significant future in cars?
12 Jul 2017

The road to fully flexible consumer electronics
Flexible consumer electronic devices are now a reality, and as forecasted by IDTechEx in the launch of the first ever market research report on the topic of barrier films for electronics almost ten years ago, innovation in encapsulation was one of the critical requirements that needed to be met in order to realize commercially viable consumer products.
12 Jul 2017

Amber, the Dutch self driving startup
Amber, a Dutch self-driving startup, has stated that it would be the first in the world to deploy self-driving cars on a large scale.
12 Jul 2017

Towards a high-resolution, implantable neural interface
The goal of The Neural Engineering System Design program is developing an implantable system able to provide precision communication between the brain and the digital world.
Full profile interview
12 Jul 2017

CPS Technologies
CPS Technologies are manufacturers AlSiC MMC parts. IDTechEx technology analyst Dr Richard Collins interviewed Dr Mark Occhionero (Senior Research Scientist).
11 Jul 2017

Hacking the human brain
One of the greatest challenges facing artificial intelligence development is understanding the human brain and figuring out how to mimic it.
Youtube
11 Jul 2017

3D printing structural electronics
TNO discuss their developments on 3D printed structural electronics using selective laser centering from a polymer pattern, and shows examples of their 3D printed products.
11 Jul 2017

Biofeedback technology helping improve balance in Parkinson's patients
A research team is developing a system that guides patients through a series of balance exercises using wearable technology.
11 Jul 2017

UK's first electric truck plant to open in Banbury
The UK's first electric-only truck manufacturing facility is set to open in Oxfordshire.
11 Jul 2017

Dutch solar park to power local Google data centre
Google and Eneco have announced that Google will purchase all of the green electricity generated by Sunport Delfzijl, the largest solar energy park in the Netherlands, for a period of ten years.
11 Jul 2017

Second construction level of NASA challenge to 3D print a habitat
The teams are working to find ways to 3D print habitation structures using recyclables and simulated Martian soil, a technology goal that could support deep space exploration and advance construction capabilities on Earth.
11 Jul 2017

Railway robots assist passengers
he East Japan Railway Company is hoping to introduce robots to its railway stations to assist passengers.
11 Jul 2017

A future without fakes thanks to quantum technology
Counterfeit products are a huge problem - from medicines to car parts, fake technology costs lives.
10 Jul 2017

Strategic drug discovery collaboration
Exscientia has entered into a strategic drug discovery collaboration with GlaxoSmithKline.
10 Jul 2017

France to ban petrol and diesel cars by 2040
Nicolas Hulot announced the end of the sale of petrol and diesel cars by 2040.